新闻中心

NEWS CENTER

当前位置:首页 > 新闻中心 > 行业资讯 > 什么是免疫细胞?

什么是免疫细胞?

2025-07-31

 

  免疫细胞  

你知道吗?在我们的身体里,藏着一支24小时待命的 “精锐部队”!它们却能在病毒悄悄入侵时迅速吹响号角,在异常细胞刚冒头时果断亮剑,甚至能记住每一次 “战斗” 的经验,为下次防御做好万全准备——这就是我们的免疫细胞,一群默默守护健康的 “隐形卫士”。

 

 

今天,就让我们一起揭开这支神秘部队的面纱,看看它们是如何为我们的身体筑起坚不可摧的防线的。

 

1

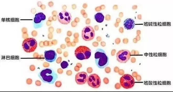
白细胞

白细胞是一类免疫细胞的统称。白细胞分很多种:有淋巴细胞,中性粒细胞 , 嗜酸性粒细胞,嗜碱性粒细胞,和单核细胞,巨噬细胞。作用是杀灭细菌和病毒并且监视身体的稳定,就像身体里的军队,保护我们的安全。

 

 

2

T细胞——人体里的特种兵

T细胞不像其他白细胞那样,只要是病毒,就不管三七二十一,一起上去群殴。T细胞可是有选择地出击,对付一种特定的病毒,人体的无数个T细胞中,通常只有一个T细胞会作出反应。

 

 

3

树突状细胞(DC)——战场上的联络兵

树突状细胞一旦发现病毒,它们就会猛扑上去,将其迅速吞食,之后在体内对这个病毒进行加工,提取病毒的特征“碎片”,并把这个碎片扛在自己肩上,然后,它们开始长途跋涉,去寻找并联络可以对付这种病毒的T细胞。

 

 

4

B细胞——人体里的“导弹库”

T细胞之所以非常重要,是因为它能去打开人体对付病毒的导弹库-B细胞。一秒钟内,一个B细胞大约能发射2000发“导弹”!而这些导弹,学名叫抗体。

 

 

5

自然杀伤细胞(NK)——亡羊补牢的卫士

自然杀伤细胞属于白细胞的一种,它是人体忠诚的卫士,主要任务就是亡羊补牢——消灭那些已经被病毒感染的细胞,从而把病毒消灭在“摇篮”中。

 

 

6

单核细胞——会七十二变的大细胞

单核细胞是血液中最大的血细胞,像孙悟空一样,它会变身,而且,运动能力也很强,能从血液中离家出走。它不光能吞噬病菌,还能清除受伤和衰老的细胞及其碎片。

 

7

巨噬细胞——人体清道夫

当单核细胞从血液中离家出走,来到血管外,到身体的其他组织中时,单核细胞的体积会增大,直径可达50~80微米,这时,它就不叫单核细胞了,它变成了一个更加强大的人体斗士——巨噬细胞!

 

 

8

肥大细胞

这个胖子是白细胞的一种,在血管外活动,是具有强嗜碱性颗粒的组织细胞,它在速发型支气管哮喘中,起着十分重要的作用。

 

 

9

中性粒细胞

它是哺乳动物血液中最主要的白细胞,来源于骨髓,生成很快,但只能存活两三天。它在非特异性免疫系统中起着非常重要的作用。

 

 

10

淋巴细胞

它是白细胞中体积最小的一种,是一类具有免疫识别功能的细胞系。上文中提到的T淋巴细胞、B淋巴细胞和自然杀伤细胞,都是这个家族中的成员。

 

 

免疫细胞疗法

免疫细胞疗法顾名思义是用人体自身的免疫细胞去治疗病症的一类方法。取患者少量的外周血,对其中的免疫细胞进行体外增殖、活化,再回输至患者体内的一种免疫疗法。 

 

将免疫细胞回输体内即可诱导自体抗病毒免疫应答,人体抗病毒免疫一旦被激活,就会源源不断产生抗病毒的物质杀灭病毒。

 

结语

 

免疫细胞疗法自问世以来,已在癌症治疗等领域取得革命性突破,为众多患者带来新生。

 

展望未来,这一前沿疗法正蓄势待发,其应用疆域将大幅超越肿瘤范畴,向多种难治性疾病拓展: 从自身免疫疾病(如类风湿关节炎、系统性红斑狼疮、1型糖尿病)到慢性病毒感染(如HIV、乙肝),再到器官移植排斥的控制,甚至探索攻克神经退行性疾病的堡垒。

 

通过精准“重编程”人体免疫系统,它有望为更广泛的疾病谱系提供全新的治愈希望,深刻重塑未来医疗格局